• Всего документов: 5844
  • Число пользователей: 15251

Yarali gingivit. Klinikasi, qiyosiy tashxisi, davolash,profilaktikasi

PARODONT KASALLIKLARI KLINIK 
KO'RINISHIVA PATOMORFOLOGIYASI  
Gingivit.

Gingivit har hil klinik morfologik shakllardan qat'iy nazar quyidagi tashxislovchi ko'rinishlar 
bilan tavsiflanadi.

  1. Yumshoq tish karashlari va milk usti tish toshlarini borligi.

2. Yod musbat reakciyasi.

  3. Tish-milk bog'lamini buzilmaganligi tufayli tish-milk cho'ntagiyo'qligi. 

4. Milk qonashi.

5. Milkdagi xar hil klinik-morfologik o'zgarishlar. Kataral gingivitda - shish va o'zgarish 
epiteliyning muguzlanish jarayonini buzilishi, limfocitar - leykocitar - plazmacitar infiltraciya, 
tomirlar reakciyasi. Gipertrofik gingivitda - milk so'rg'ichlarini birlashtiruvchi to'qimali 
proliferaciyasini ustunligi, kollegen tolalarini shishishi va buzilishi, milk epiteliysini yaralanishi, 
leyko-limfoplazmocitar infiltraciya.elementlarining shishishi limfoplazmacitar 
infiltraciyatomirlarining kengayishi; fibroz shaklida esa – fibroblastlar

6. Rentgenogrammada tishlararo to'siqlarning destrukciyagauchramaganligi.

7. Bemorlar umumiy xolati o'zgarmagan, faqatgina kataral va yarali gingivitlarning o'tkir va 
surunkali xurujlangan shakllaridan tashqari   Rathbun sindromi 
(gipofosfataziya)

autosom recessiv xolda. nasidan 
nasiga o'tadi. Ishqoriy fosfataza 
etishmasligi sababli tana skeletida 
og'ir mineral buzilishlarga va 
tishlarni erta yo'qotilishiga olib 
keladi. Gipofosfatemiyada (fosfat 
diabet, vitamin D 
rezistentli raxitda) 
parodontal sindrom.
Qiyshiq oyoqlar va turg'un gingivit fonida yuzaga 
keluvchi raxit asosidagi kasallik fonida 
tashxislanadi.Gingivit tezlikda parodontitga o'tadi, 
yaqinda yorib chiqqan pastki va yuqorigi kurak tishlar 
tezlikda tushib ketadi. Bolaning bo'yi past, qiyshiq qo'l 
oyoqlar,erta sut tishlarining tushishi. Rentgenda siyrak 
suyak to'qimasi dag'al tolali strukturaga aylanadi. 
Qonda kalciy miqdori me'yorda, ishqoriy fosfataza 
miqdori ortgan.   Gipertrofik gingivit

ko'pincha mahalliy omillar ta'sirida yuzaga keladi. Bularga noto'g'ri 
protezlash, plombalash nuqsonlari, prikus patologiyasi, 
sanaciyalanmagan og'iz bo'shlig'i va hk.lar kiradi. Umumiy omillardan 
garmonal o'zgarishlar katta ahamiyatiga ega (o'smirlar gingiviti, 
xomiladorlar gingiviti, klematerik gingivit), shuningdek medikamentoz 
dori vositalarini uzoq vaqt qo'llash, vitaminlar tanqisligi (ayniqsa, 
vitamin S), qon kasalliklari, boshqa organ va tizimlar kasalliklari 
etiologik faktorlardan bo'lib xisoblanadi. Ko'pchilik mualliflar 
gipertrofik gingigivitni 2 shaklga ajratadilar:  ⚫

shishli. 

Fibroz.   Desmodontoz

yallig'lanishsiz kechadigan, parodontning distrofik xarakterli surunkali 
tarqoq zararlanishi. 1949 yilda Amerika parodontologiya akademiyasi 
tomonidan yallig'lanishsiz, parodont to'qimasining degenerativ 
destrukciyasi bilan, tish qimirlashi, tish milk cho'ntagi hosil bo'lishi 
bilan kechadigan parodontning idiopatik kasalligi e'lon qilindi. 
Ulargacha Wotlieb 1920 yilda «<Alveola suyagining diffuz atrofiyasi» 
deb unga periodontoz degan nom bergan. Franciyaning 
tadqiqotchilari esa desmodontoz nomini berishni taklif «etishgan, 
chunki, bundan maqsad, kasallikdagi tish aylanma boylami (Lig. 
cirulari dentis) va periodont tolalarning jarohatlanishi, zararlanishi 
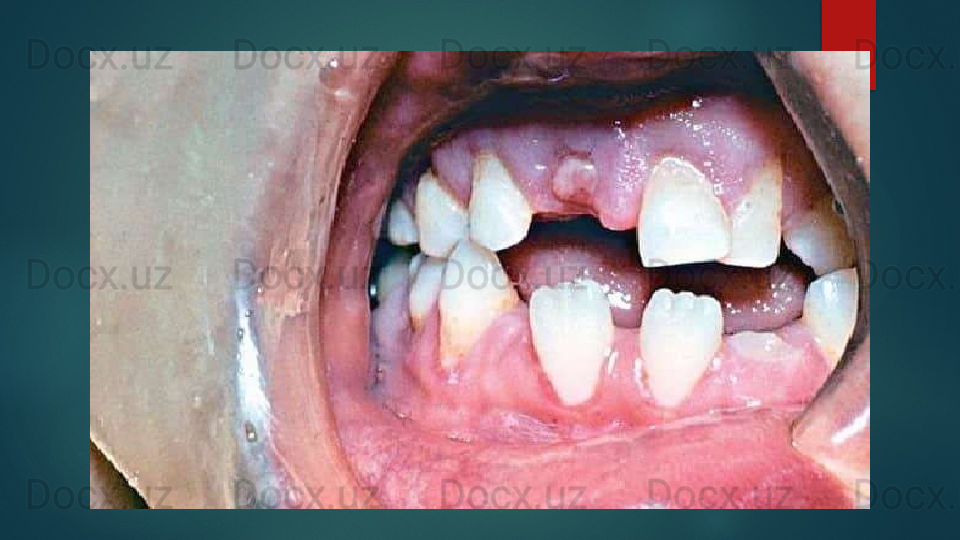
bo'lishiga urg'u berish edi.      Yarali gingivit

organizm reaktivligining o'zgarishi va parodont to'qimalarining og'iz 
bo'shlig'i autoinfekciyalariga chidamliligining pasayishi fonida kelib 
chiqadi. Gingivitning bu shakli (ko'proq 18-30 yoshda) vitaminlar 
tanqisligida, virusli kasalliklardan keyin, uzok asabiylashishdan, og'iz 
bo'shlig'ini qoniqarsiz gigienasidan, chekishdan va turli hil zararli 
odatlardan yuzaga keladi. Gingivitning bu shakli 0,2- 6% xollarda 
uchraydi. Yarali gingivit o'tkir boshlanib, xolsizlanish, tana xaroratini 
39 °C gacha ko'tarilishi, og'izda o'tkir og'riqlar paydo bo'lishi, milklarni 
qonashi, og'riq tufayli ovqat qabul qilishning qiyinlashuvi, og'izdan 
noxush xid kelishi bilan kechadi. Anamnezida hamma bemorlarda bir 
necha xafta, bir necha yildan beri milk qonashi, kasallik 
davolanmaganligi qayd etiladi.   Adabiyotlar

1.Диагностика и дифференциал. диагностика кариеса зубов и его осложнений. 
Уч. Пособие. Михольченко В.Ф. М.. -М:Ао P " НПП "Джангар".-2006.-104с.

2. Местное обезболивание в амбулаторной стоматологии. 3- e  издание, 
перераб. и доп. - Москва: - Издательство "Книга плюс", - 2004. Ил. - 122, табл. - 
8, библиография - 62 лит. Источников

  3. Практическая терапевтическая стоматология - А.И.Николаев, Л.М.Цепов, 
Москва, "Мед пресс-информ" 2004-548 стр

4. Практическая эндодонтия. Инструменты, материалы иметоды - Л. А. 
Хоменко, Н. В. Биденко- издание третье, дополненное, исправленное М.: 
Книга плюс. 2005.- 209 стр

.5. Пропедевтика стоматологических заболеваний. Скорикова Л.А., Волков 
В.А., Баженова Н.П., Лапина Н.В., Еричев И.В. Ростов-на-Дону, "Феникс", 2002-
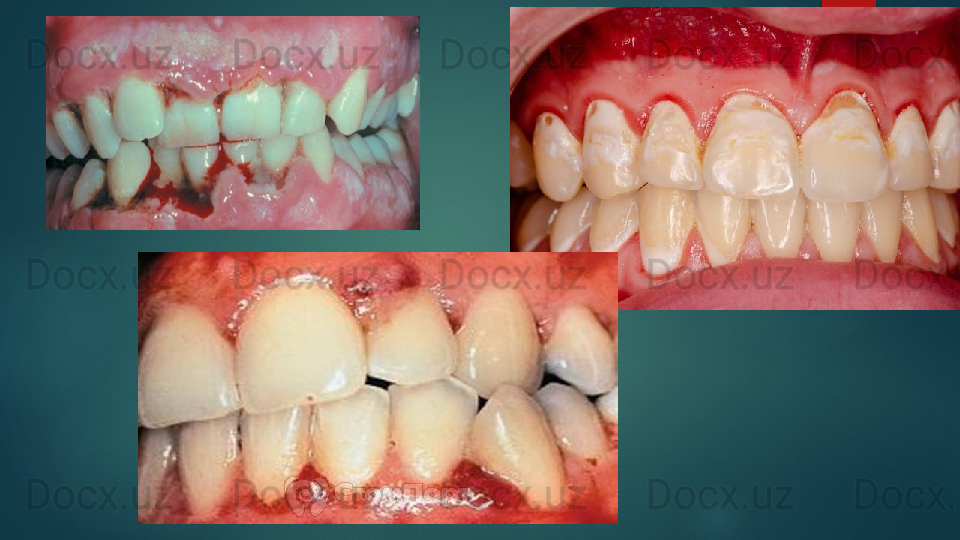
640 стр   Kataral gingivit.
Mahalliy (og'iz bo'shlig'ining yomon gigienasi, yumshoq tish karashlari va 
tish toshlarining ko'pligi, tish - jag' anomaliyalari va nuqsonlari, 
plombalash va protezlash nuqsonlari, kasb kasalliklari va x.k.) va umumiy 
omillar (organizm turli tizimlaridagi kasalliklar) ta'sirida rivojlanadi. 
Shikoyatlari: milkni qonashi va og'rishiga; og'izdan nohush xidkelishiga, 
og'iz bo'shlig'idagi noxush sezgiga.
Ob'ektiv: o'tkir kataral gingivitli bemorni ko'zdan kechirganda,milk shilliq 
qavatini yorqin giperemiyasi aniqlanadi. Milk yuzasi silliq,yaltiroq, 
shishgan va zondlanganda qonaydi.      Papiyon Lefevra sindromi

parodontitni og'ir shakllari bilan birgalikda kechishi, autosom-recessiv 
xolda nasldan nasiga o'tuvchi qo'l va oyoq terisini giperkeratozi 
shaklida zararlanishi bilan xarakterlanadi. Kam uchraydi. Alveolyar 
o'simtaning suyak to'qimasini destrukciyasi tufayli sut va doimiy tishlar 
vaqtidan oldin tushib ketadi.         Yarali gingivit. Klinikasi, 
qiyosiy tashxisi, 
davolash,profilaktikasi. 
Kasallik tarixini yozish.      Xenda shyuller-Krischen kasalligi.

Retikulogistiocitozlarga kiradi. U qandsiz diabet, ekzoftalm, suyakdagi 
o'smasimon hosilalar, o'sish va rivojlanishni sekinlashishi bilan 
kechadi. Og'iz bo'shlig'ida yaqqol o'zgarishlar tarqoq parodontit 
klinikasi ko'rinishida kuzatiladi. Rentgenogrammada jag'larning 
alveolyar o'simtasida suyak to'qimasini destrukciyasi aniqlanadi.      Epulis

bir yoki bir nechta tishlar soxasidagi parodontda uchraydigan lokal 
xavfsiz milkni tugunsimon hosilasi. Epulis kattalarda ko'prok, bolalarda 
ozrok uchraydi. Quyidagi turlari ajratiladi: granulematoz epulis, gigant 
xujayrali epulis, fibroz epulis. Gigant hujayrali epulisni olib 
tashlangandan so'ng ko'p hollarda recidiv berishi mumkin. Klinik 
ko'rinishi gipertrofiyalashgan milk so'rg'ichlari shakllida ko'rinadi, 
albatta qiyosiy tashxislash zarur. Epulislar rivojida ko'pincha mahalliy 
ta'sirotlar (tish toshlari, olinmagan ildiz, plomba va karies kovagining 
o'tkir qirralari va boshqalar) sababchi bo'lishi mumkin.   Parodontal kista

asosiykasallikni surunkali kechishinatijasida rivojlanadi. Bunda epiteliy 
cho'ntakni butun ichki qismini qoplaydi va suyak usti pardasini 
ko'chiradi. Avvalo jarayon simptomsiz kechadi, kista kattalashgan sari 
shish aniqlanadi.Rentgenogrammada suyak to'qimasini dumaloq 
shakldagi aniqzararlanish o'chog'i ko'rinadi. Periodontning apikal 
qismida patologik o'zgarishlar bo'lmasligi, tish pulpasining elektr 
qo'zg'aluvchanligi o'zgarmagan bo'lishi ham mumkin.   Reja
PARODONT KASALLIKLARI KLINIK KO'RINISHIVA PATOMORFOLOGIYASI
PARODONT TO'QIMLARINING IDIOPATIK KASALLIKLARI
PARODONTOMALAR

Xulosa

Adabiyotlar   Eozinofil granulyoma

diffuz va o'choqli shakllarda uchraydi.Og'iz bo'shlig'ida gingivit, 
parodontal va suyak cho'ntaklari, tishqimirlashlari aniqlanadi. 
Kasallikni boshlang'ich bosqichlarida og’iz bo'shlig'idagi ko'rinishlar 
birinchi va kasallikning yagona simptomlari bo'lib hisoblanadi. 
Rentgenologik suyak to'qimasini osteoporozi va so'rilishi aniqlanadi. 
O'choqli shaklida yaqqol kompensator reakciyali jarayon 
chegaralangan xarakterdagi ko'rinishda uchraydi.      Hech qachon kasal 
bo’lmang   PARODONT TO'QIMLARINING 
IDIOPATIK KASALLIKLARI

Idiopatik kasalliklar deb, klinik ko'rinishi, kechishi va nima bilan 
tugashi yuqorida keltirilgan parodont kasalliklariga o'xshamagan, 
lekin parodontoliz (parodont to'qimalarining so'rilishi, emirilishi) bilan 
kechadigan, bularning ham kelib chikishi noma'lum bo'lgan parodont 
kasalliklariga aytiladi.Bularga bir necha belgilar yig'indisi sindromlar 
va kasalliklar (neytropeniya, agammaglobulinemiya, Papiyon Lefevra 
sindromi, Xend shyuller Krischen kasalligi, desmodontoz, qandli diabet 
vahokozolar) kiradi.   Letterer Sive kasalligini

rivojlangan bosqichi isitma, teriqoplamlarining rangsizligi, adinamiya, 
ozish, ishtaxani yo'qolishi,gepato- va splenomegaliya bilan 
xarakterlanadi. Og'iz bo'shlig’ida suyak to'qimasini o'sib boruvchi 
osteolizi bilan tarqoq parodontit ko'rinishlari kuzatiladi. 
Rentgenogrammada jag' tanasining diffuz va o'choqli alveolalararo 
to'siqlarning surilishi, osteoporozi aniqlanadi.   Fibromatoz

Fibromatoz-milk to'qimasini tarqoq yoki chegaralangan fibroz 
qalinlashishi. Kasallikni genetik moyillik chaqirishi mumkin. Milk 
fibromatozi kamdan-kam uchraydigan kasallik - holat hisoblanadi, faqat 
katta yoshdagi odamlarda uchraydi. Sababi noma'lum irsiy kasallik bo'lib 
hisoblanadi. Asta-sekin rivojlanadigan, qattiq, bosganda og'riqsiz 
dumboqsimon o'smalar barcha alveola o'simtalari yoki ayrim joylarda, 
ko'pincha oldingi tishlar atrofida joylashadi. U erda yallig'lanish bo'lmaydi. 
Bemorlar milkda ajabtovur, noxush ko'rinish borligiga shikoyat qiladilar. 
Erkak va ayollarda, ayrim paytlarda bolalarda ham uchraydi. Gipertrofik 
gingivitda farqi, fibromatozda faqat tishlararo milkda emas, balki alveola 
milkida ham shakl o'zgarishlar (deformaciya), undan tashqari ham og'iz 
bo'shlig'i, ham og'iz dahlizi tomonlaridagi milk, guyoki bo'rtgan, 
shishgansimon shakliy o'zgarishda bo'lib,ancha xusnbuzarlikka sabab 
buladi.   PARODONTOMALAR

Parodontto'qimasida o'sma va o'smasimon kasalliklar parodontomalar 
deb yuritiladi. Bu tur kasalliklarni davolash usullari jarroxlik yullari 
bilan bo'lgani sababli, bu ma'lumotlar jarroxlik stomatologiya o'quv 
kitoblari, darsliklar, qo'llanmalarida batafsil keltiriladi.Lekin, terapevt 
stomatolog og'iz bo'shlig'ida uchraydigan bu xastaliklarni bilishi, bir-
biridan farqlay olishi, og'iz bo'shlig'idagi boshqa o'zgarishlar - 
gipertrofik gingivit, ayrim milkso'rg'ichlarining kattalashib qolishi va 
ularning mahalliy ta'sirotlar bilan bog'likligi kabi masalalarni bilishi 
shart.Parodontomalarga milk fibromatozi, epulis, parodontal kista va 
boshqa parodont to'qimalarning hosilalari kiradi.      Xulosa

Og'iz bo'shlig'ini garmoniyasi undagi so'lak, shilliq qavatning sog'lom 
bo'lishi, tish qatorlarining tekisligi, to'liqligi, og'iz dahlizi, 
yuganchalarning me'yordaligi, parhezning o'ziga xosligi va ovqatliklar 
xarakterlari bilan bog'lik.Noto'g'ri qo'yilgan plombalar, tish 
kovaklarining o'tkir qirralari, noto'g'ri tayyorlangan sun'iy tish 
protezlari, ortodontik apparatlari va moslamalari ovqat tiqilib qolishi 
va chirindilar hosil bo'lishiga, shilliq qavat jarohatlanishiga va u bilan 
bog'lik turli noxushliklar kelib chiqishiga sabab bo'ladi.   Patomorfologiyasida

retikulyar hujayralar, eozinofillar yig'ilishi,390. 
Rentgenogrammasilimfomakrofagal infiltraciyani ko'rish mumkin. 
Leterer-Sive kasalligining og'ir klinik kechishida et uvishishi, harorat 
ko'tarilishi, terining oqish bo'lishi, harakatsizlik, ozish va ishtaha 
yo'qolishi, gepato va splenomegaliyalarni ko'rish mumkin. Og'iz 
bo'shlig'ida generallashgan parodontit, suyak emirilishining avjidaligi 
qayd etiladi. Rentgenologik tekshiruvda osteoporoz, alveolalararo 
to'siqchalarning emirilishi, hattoki kasallik joylashgan o'chokda jag' 
suyagining so'rilishi kuzatiladi.

Yarali gingivit. Klinikasi, qiyosiy tashxisi, davolash,profilaktikasi